Anti-c-Myc Antibody(Mouse)

  • AYC29-100
c-Myc 蛋白含有 bHLH 結構域,該蛋白在正常機體發育和腫瘤發生過程中起着 非常重要的作用,c-Myc 是一個重要的轉錄因子, 其異常表達能促進多種癌 症的的發生和發展。将人 p62 c-Myc 蛋白的 410-419 這段氨基酸序列 (EQKLISEEDL)融合至目的蛋白的 N 端或 者是 C 端,可以對目的蛋白進行準 确的檢測、定位和純化。
編号 規格 價格 促銷價 品牌 庫存 說明書
AYC29-100 100ul 880.00 880.00 現貨 下載
AYC29-200 200ul 1280.00 1280.00 現貨 下載

産品介紹

産品信息:
c-Myc 蛋白含有 bHLH 結構域,該蛋白在正常機體發育和腫瘤發生過程中起着非常重要的作用,c-Myc 是一個重要的轉錄因子, 其異常表達能促進多種癌症的的發生和發展。将人 p62 c-Myc 蛋白的 410-419 這段氨基酸序列
EQKLISEEDL)融合至目的蛋白的 N 端或者是 C 端,可以對目的蛋白進行準确的檢測、定位和純化。
抗體來源:小鼠
交叉反應:c-Myc 标簽融合蛋白
克隆類型:單克隆抗體
亞型:lgG2A
來源:293 細胞表達的重組抗體
純化方式:rProtein A 親和純化
産品純度:>95%, SDS-PAGE 檢測
儲存緩沖液:1xPBS(pH7.4)0.02%疊氮鈉,50%甘油
儲存條件:藍冰運輸,-20°C可保存不少于2年,避免反複凍融
産品應用:
濃度:1.0 mg/ml
WB=1/2000-1/30000
ELISA=1/5000-1/15000
IP=1ug-2ug
IF=1/200
保存條件:
藍冰運輸,-80°C存儲>4年,-20°C可保存>2年,避免反複凍融
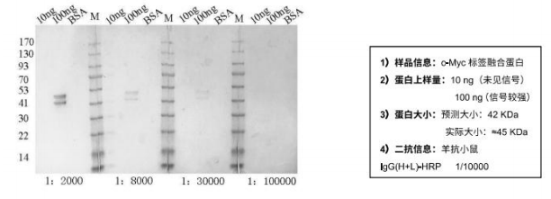
數據展示:
WB 數據:
ELISA 數據:
IP 數據:
IF 數據:

說明書下載

"Anti-c-Myc Antibody(Mouse)"産品說明書下載

手機訪問

手機掃碼可直接訪問該頁面